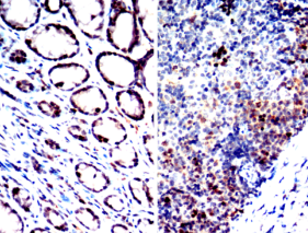
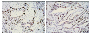
KI67 Mouse Monoclonal antibody[8D5B6]

AccuSift
KIA; Ki-67; MKI67
SKU Name Unit Price Delivery QTY
AC2635 KI67 Mouse Monoclonal antibody[8D5B6] 100ug $367 10days
AC2635 KI67 Mouse Monoclonal antibody[8D5B6] 200ug $660.6 10days

Ki67, also known as MKI67, it is the prototypic cell cycle related nuclear protein, expressed by proliferating cells in all phases of the active cell cycle (G1, S, G2 and M phase). It is absent in resting (G0) cells. Ki67 antibodies are useful in establishing the cell growing fraction in neoplasms (immunohistochemically quantified by determining the number of Ki67 positive cells among the total number of resting cells = Ki67 index). In neoplastic tissues the prognostic value is comparable to the tritiated thymidine labelling index. The correlation between low Ki67 index and histologically low grade tumours is strong. Ki67 is routinely used as a neuronal marker of cell cycling and proliferation.



Aliases :   KIA; Ki-67; MKI67    

Entrez GeneID:    4288    

Swissprot :   P46013      

WB Predicted band size :   358kDa    

Host/Isotype:   Mouse IgG1    

Species Reactivity:    Human,Mouse,Rat,Rabbit,Monkey    

Immunogen :   Synthetic peptide corresponding to aa (CEDLAGFKELFQTPG) of human KI67, conjugated to KLH.    

Operation

WB    1/500 - 1/2000    

IHC    1/200 - 1/1000    

FCM    1/200 - 1/400    

ELISA    1/10000    

References