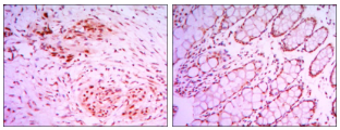
KDM4A Mouse Monoclonal antibody[5H1E7]

AccuSift
JMJD2; JHDM3A; JMJD2A; KIAA0677; KDM4A
SKU Name Unit Price Delivery QTY
AC2621 KDM4A Mouse Monoclonal antibody[5H1E7] 100ug $367 10days
AC2621 KDM4A Mouse Monoclonal antibody[5H1E7] 200ug $660.6 10days

This gene is a member of the Jumonji domain 2 (JMJD2) family and encodes a protein containing a JmjN domain, a JmjC domain, a JD2H domain, two TUDOR domains, and two PHD-type zinc fingers. This nuclear protein functions as a trimethylation-specific demethylase, converting specific trimethylated histone residues to the dimethylated form, and as a transcriptional repressor.



Aliases :   JMJD2; JHDM3A; JMJD2A; KIAA0677; KDM4A    

Entrez GeneID :   9682    

Swissprot:    O75164    

WB Predicted band size :   120kDa    

Host/Isotype :   Mouse IgG1    

Species Reactivity :   Human    

Immunogen :   Purified recombinant fragment of human KDM4A expressed in E. Coli.    

Operation

IHC    1/200 - 1/1000    

IF/ICC    1/200 - 1/1000    

ELISA    1/10000    

References