KDM3A Mouse Monoclonal antibody[1E12A]

AccuSift
TSGA; JMJD1; JHDM2A; JHMD2A; JMJD1A; KIAA0742; DKFZp686A24246; DKFZp686P07111; KDM3A
SKU Name Unit Price Delivery QTY
AC2617 KDM3A Mouse Monoclonal antibody[1E12A] 100ug $367 10days
AC2617 KDM3A Mouse Monoclonal antibody[1E12A] 200ug $660.6 10days

This gene encodes a zinc finger protein that contains a jumonji domain and may play a role in hormone-dependent transcriptional activation. JMJD1A functions as a mono- and dimethylation-specific demethylase, binding iron and -ketoglutarate as cofactors and demethylating Lysine 9 of Histone H3. This suggests that JMJD1A plays a central role in the histone code and participates in nuclear hormone receptor-based transcriptional regulation. In addition, JMJD1A plays an important role in the regulation of cell growth during development and in chromatin regulation. JMJD1A directly regulates the expression of TNP1 and Protamine 1 (proteins required for the proper packaging and condensation of sperm chromatin) and, therefore, plays an essential role in spermatogenesis.



Aliases:    TSGA; JMJD1; JHDM2A; JHMD2A; JMJD1A; KIAA0742; DKFZp686A24246; DKFZp686P07111; KDM3A    

Entrez GeneID:    55818    

Swissprot:   Q9Y4C1      

WB Predicted band size :   147kDa    

Host/Isotype:    Mouse IgG1    

Species Reactivity:    Human    

Immunogen :   Purified recombinant fragment of human KDM3A expressed in E. Coli.    

Operation

WB    1/500 - 1/2000    

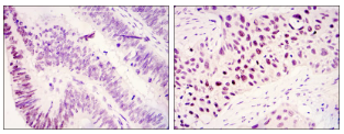
IHC    1/200 - 1/1000    

ELISA    1/10000    

References