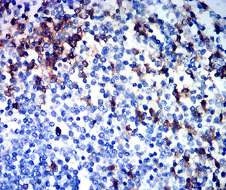
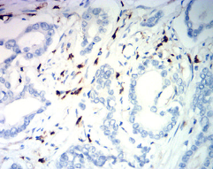
ITGAM Mouse Monoclonal antibody[3A4B1]

AccuSift
CR3A; MO1A; CD11B; MAC-1; MAC1A; SLEB6
SKU Name Unit Price Delivery QTY
AC2579 ITGAM Mouse Monoclonal antibody[3A4B1] 100ug $367 10days
AC2579 ITGAM Mouse Monoclonal antibody[3A4B1] 200ug $660.6 10days

This gene encodes the integrin alpha M chain. Integrins are heterodimeric integral membrane proteins composed of an alpha chain and a beta chain. This I-domain containing alpha integrin combines with the beta 2 chain (ITGB2) to form a leukocyte-specific integrin referred to as macrophage receptor 1 ('Mac-1'), or inactivated-C3b (iC3b) receptor 3 ('CR3'). The alpha M beta 2 integrin is important in the adherence of neutrophils and monocytes to stimulated endothelium, and also in the phagocytosis of complement coated particles. Multiple transcript variants encoding different isoforms have been found for this gene.



Aliases:    CR3A; MO1A; CD11B; MAC-1; MAC1A; SLEB6    

Entrez GeneID:    3684    

Swissprot:    P11215     

WB Predicted band size:    127.1kDa    

Host/Isotype :   Mouse IgG1    

Species Reactivity:    Human    

Immunogen:    Purified recombinant fragment of human ITGAM (AA: 623-728) expressed in E. Coli.    

Operation

IHC    1/200 - 1/1000    

FCM    1/200 - 1/400    

ELISA    1/10000    

References