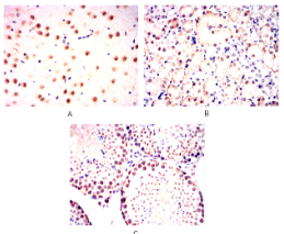
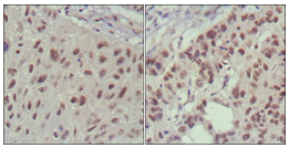
ISL1 Mouse Monoclonal antibody[1H9B2]

AccuSift
Isl-1; ISLET1; ISL1
SKU Name Unit Price Delivery QTY
AC2571 ISL1 Mouse Monoclonal antibody[1H9B2] 100ug $367 10days
AC2571 ISL1 Mouse Monoclonal antibody[1H9B2] 200ug $660.6 10days

ISL1 (ISL1 transcription factor, LIM/homeodomain) is a member of the LIM/homeodomain family of transcription factors. It binds to the enhancer region of the insulin gene, among others, and may play an important role in regulating insulin gene expression. It is central to the development of pancreatic cell lineages and may also be required for motor neuron generation. Islet-1 expression defines cardiac progenitor cell populations and is required for normal cardiac development and asymmetry. Mutations in this gene have been associated with maturity-onset diabetes of the young.



Aliases :   Isl-1; ISLET1    

Entrez GeneID:    3670    

Swissprot:    P61371     

WB Predicted band size :   39kDa    

Host/Isotype :   Mouse IgG1    

Species Reactivity:    Human,Mouse,Rat,Rabbit    

Immunogen:    Purified recombinant fragment of human ISL1 expressed in E. Coli.    

Operation

IHC    1/200 - 1/1000    

IF/ICC    1/200 - 1/1000    

ELISA    1/10000    

References