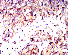
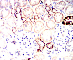
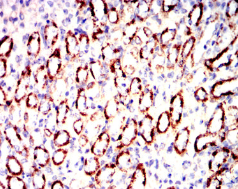
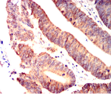
IRF3 Mouse Monoclonal antibody[5G3E2]

AccuSift
IIAE7
SKU Name Unit Price Delivery QTY
AC2569 IRF3 Mouse Monoclonal antibody[5G3E2] 100ug $367 10days
AC2569 IRF3 Mouse Monoclonal antibody[5G3E2] 200ug $660.6 10days

This gene encodes a member of the interferon regulatory transcription factor (IRF) family. The encoded protein is found in an inactive cytoplasmic form that upon serine/threonine phosphorylation forms a complex with CREBBP. This complex translocates to the nucleus and activates the transcription of interferons alpha and beta, as well as other interferon-induced genes. The protein plays an important role in the innate immune response against DNA and RNA viruses. Mutations in this gene are associated with Encephalopathy, acute, infection-induced, herpes-specific, 7.



Aliases:    IIAE7    

Entrez GeneID:    3661    

Swissprot:    Q14653    

WB Predicted band size:    47.2kDa    

Host/Isotype :   Mouse IgG1    

Species Reactivity:    Human, Mouse, Rat    

Immunogen :   Purified recombinant fragment of human IRF3 (AA: 1-150) expressed in HEK293-6e cells supernatant.    

Operation

WB    1/500 - 1/2000    

IHC    1/200 - 1/1000    

FCM    1/200 - 1/400    

ELISA    1/10000    

References