INCENP Mouse Monoclonal antibody[3D2G9]

AccuSift
SKU Name Unit Price Delivery QTY
AC2560 INCENP Mouse Monoclonal antibody[3D2G9] 100ug $367 10days
AC2560 INCENP Mouse Monoclonal antibody[3D2G9] 200ug $660.6 10days

In mammalian cells, 2 broad groups of centromere-interacting proteins have been described: constitutively binding centromere proteins and 'passenger,' or transiently interacting, proteins (reviewed by Choo, 1997). The constitutive proteins include CENPA (centromere protein A; MIM 117139), CENPB (MIM 117140), CENPC1 (MIM 117141), and CENPD (MIM 117142). The term 'passenger proteins' encompasses a broad collection of proteins that localize to the centromere during specific stages of the cell cycle (Earnshaw and Mackay, 1994 [PubMed 8088460]). These include CENPE (MIM 117143); MCAK (MIM 604538); KID (MIM 603213); cytoplasmic dynein (e.g., MIM 600112); CliPs (e.g., MIM 179838); and CENPF/mitosin (MIM 600236). The inner centromere proteins (INCENPs) (Earnshaw and Cooke, 1991 [PubMed 1860899]), the initial members of the passenger protein group, display a broad localization along chromosomes in the early stages of mitosis but gradually become concentrated at centromeres as the cell cycle progresses into mid-metaphase. During telophase, the proteins are located within the midbody in the intercellular bridge, where they are discarded after cytokinesis



Entrez GeneID:    3619    

Swissprot:    Q9NQS7    

WB Predicted band size :   105.4kDa    

Host/Isotype:    Mouse IgG1    

Species Reactivity :   Human    

Immunogen :   Purified recombinant fragment of human INCENP (AA: 369-583) expressed in E. Coli.    

Operation

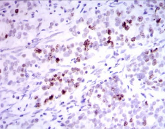
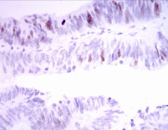
IHC    1/200 - 1/1000    

IF/ICC    1/200 - 1/1000    

FCM    1/200 - 1/400    

ELISA    1/10000    

References