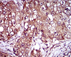
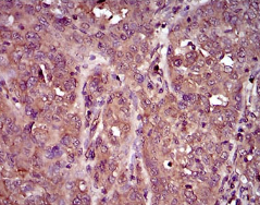
IL3RA Mouse Monoclonal antibody[8E11C]

AccuSift
IL3R; CD123; IL3RX; IL3RY; IL3RAY; hIL-3Ra
SKU Name Unit Price Delivery QTY
AC2556 IL3RA Mouse Monoclonal antibody[8E11C] 100ug $367 10days
AC2556 IL3RA Mouse Monoclonal antibody[8E11C] 200ug $660.6 10days

The protein encoded by this gene is an interleukin 3 specific subunit of a heterodimeric cytokine receptor. The receptor is comprised of a ligand specific alpha subunit and a signal transducing beta subunit shared by the receptors for interleukin 3 (IL3), colony stimulating factor 2 (CSF2/GM-CSF), and interleukin 5 (IL5). The binding of this protein to IL3 depends on the beta subunit. The beta subunit is activated by the ligand binding, and is required for the biological activities of IL3. This gene and the gene encoding the colony stimulating factor 2 receptor alpha chain (CSF2RA) form a cytokine receptor gene cluster in a X-Y pseudoautosomal region on chromosomes X or Y. Alternatively spliced transcript variants encoding distinct isoforms have been found.


Aliases:    IL3R; CD123; IL3RX; IL3RY; IL3RAY; hIL-3Ra    

Entrez GeneID:    3563    

Swissprot:    P26951    

WB Predicted band size :   43.3kDa    

Host/Isotype:    Mouse IgG1    

Species Reactivity:    Human    

Immunogen :   Purified recombinant fragment of human IL3RA (AA: 200-305) expressed in E. Coli.    

Operation

IHC    1/200 - 1/1000    

IF/ICC    1/200 - 1/1000    

FCM    1/200 - 1/400    

ELISA    1/10000    

References