IKBKE Mouse Monoclonal antibody[6B4B5]

AccuSift
SKU Name Unit Price Delivery QTY
AC2531 IKBKE Mouse Monoclonal antibody[6B4B5] 100ug $367 10days
AC2531 IKBKE Mouse Monoclonal antibody[6B4B5] 200ug $660.6 10days

Serine/threonine kinase that plays an essential role in regulating inflammatory responses to viral infection, through the activation of the type I IFN, NF-kappa-B and STAT signaling. Also involved in TNFA and inflammatory cytokines, like Interleukin-1, signaling. Following activation of viral RNA sensors, such as RIG-I-like receptors, associates with DDX3X and phosphorylates interferon regulatory factors (IRFs), IRF3 and IRF7, as well as DDX3X. This activity allows subsequent homodimerization and nuclear translocation of the IRF3 leading to transcriptional activation of pro-inflammatory and antiviral genes including IFNB. In order to establish such an antiviral state, IKBKE forms several different complexes whose composition depends on the type of cell and cellular stimuli. Thus, several scaffolding molecules including IPS1/MAVS, TANK, AZI2/NAP1 or TBKBP1/SINTBAD can be recruited to the IKBKE-containing-complexes. Activated by polyubiquitination in response to TNFA and interleukin-1, regulates the NF-kappa-B



Aliases:    IKBKE    

Entrez GeneID:    9641    

Swissprot:    Q14164    

Host/Isotype:    Mouse IgG1    

Species Reactivity:    Human    

Immunogen:   Purified recombinant fragment of IKBKE (aa1-257) expressed in E. Coli.    

Operation

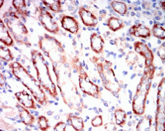
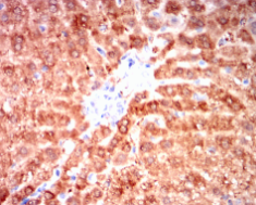
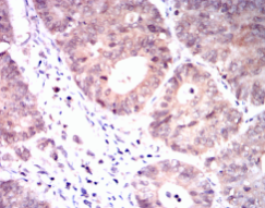
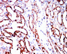
IHC    1/200 - 1/1000    

FCM    1/200 - 1/400    

ELISA    1/10000    

References