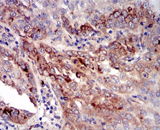
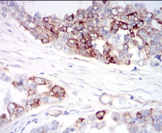
IGFBP7 Mouse Monoclonal antibody[1D9E7]

AccuSift
AGM; PSF; TAF; FSTL2; IBP-7; MAC25; IGFBP-7; RAMSVPS; IGFBP-7v; IGFBPRP1
SKU Name Unit Price Delivery QTY
AC2521 IGFBP7 Mouse Monoclonal antibody[1D9E7] 100ug $367 10days
AC2521 IGFBP7 Mouse Monoclonal antibody[1D9E7] 200ug $660.6 10days

This gene encodes a member of the insulin-like growth factor (IGF)-binding protein (IGFBP) family. IGFBPs bind IGFs with high affinity, and regulate IGF availability in body fluids and tissues and modulate IGF binding to its receptors. This protein binds IGF-I and IGF-II with relatively low affinity, and belongs to a subfamily of low-affinity IGFBPs. It also stimulates prostacyclin production and cell adhesion. Alternatively spliced transcript variants encoding different isoforms have been described for this gene, and one variant has been associated with retinal arterial macroaneurysm (PMID:21835307).



Aliases:    AGM; PSF; TAF; FSTL2; IBP-7; MAC25; IGFBP-7; RAMSVPS; IGFBP-7v; IGFBPRP1    

Entrez GeneID :   3490    

Swissprot:    Q16270       

WB Predicted band size :   29.1kDa    

Host/Isotype :   Mouse IgG1    

Species Reactivity:    Human    

Immunogen :   Purified recombinant fragment of human IGFBP7 (AA: 52-156) expressed in E. Coli.    

Operation

IHC    1/200 - 1/1000    

ELISA    1/10000    

References