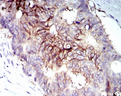
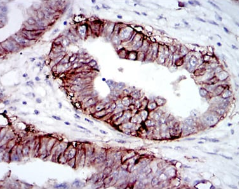
IGF1R-Beta Mouse Monoclonal antibody[3G5C1]

AccuSift
CD221; IGFIR; JTK13; MGC18216; MGC142170; MGC142172; IGF1R
SKU Name Unit Price Delivery QTY
AC2514 IGF1R-Beta Mouse Monoclonal antibody[3G5C1] 100ug $367 10days
AC2514 IGF1R-Beta Mouse Monoclonal antibody[3G5C1] 200ug $660.6 10days

IGF1R(insulin-like growth factor 1 receptor), a transmembrane receptor tyrosine kinase, is widely expressed in many cell types within fetal and postnatal tissues, and in many cell lines. Upon binding to its ligands, IGF-I and IGF-II, receptor autophosphorylation occurs. The triple tyrosine cluster within the kinase domain (Tyr1131, Tyr1135 and Tyr1136) is the earliest major site of autophosphorylation. Phosphorylation of these three tyrosine residues is necessary for kinase activation.Insulin receptors (IRs) share significant similarity with IGF1 receptors in both structure and function,including an equivalent triple tyrosine cluster within the activation loop of the kinase domain (Tyr1146, Tyr1150 and Tyr1151).Tyrosine autophosphorylation of insulin receptor is one of the earliest cellular responses to insulin stimulation. Autophosphorylation begins with phosphorylation of Tyr1146 and either Tyr1150 or Tyr1151. Full kinase activation requires the triple tyrosine phosphorylation.

  


Aliases :   IGF1R    

Entrez GeneID:    3480    

Swissprot :   P08069       

WB Predicted band size :   96kDa    

Host/Isotype:    Mouse IgG2a    

Species Reactivity :   Human    

Immunogen :   Purified recombinant fragment of IGF1R-Beta (AA: 1101-1367) expressed in E. Coli.    

Operation

IHC    1/200 - 1/1000    

ELISA    1/10000    

References