IFNAR1 Mouse Monoclonal antibody[2AB12]

AccuSift
AVP; IFRC; IFNAR; IFNBR; IFN-alpha-REC
SKU Name Unit Price Delivery QTY
AC2509 IFNAR1 Mouse Monoclonal antibody[2AB12] 100ug $367 10days
AC2509 IFNAR1 Mouse Monoclonal antibody[2AB12] 200ug $660.6 10days

The protein encoded by this gene is a type I membrane protein that forms one of the two chains of a receptor for interferons alpha and beta. Binding and activation of the receptor stimulates Janus protein kinases, which in turn phosphorylate several proteins, including STAT1 and STAT2. The protein belongs to the type II cytokine receptor family and functions as an antiviral factor.



Aliases :   AVP; IFRC; IFNAR; IFNBR; IFN-alpha-REC    

Entrez GeneID:    3454    

Swissprot :   P17181    

WB Predicted band size :   63.5kDa    

Host/Isotype:    Mouse IgG1    

Species Reactivity :   Human, Mouse    

Immunogen:    Purified recombinant fragment of human IFNAR1 (AA: 28-156) expressed in E. Coli.    

Operation

WB    1/500 - 1/2000    

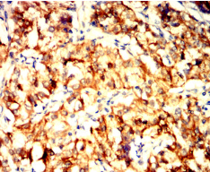
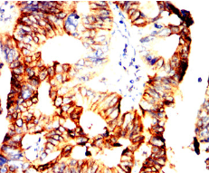
IHC    1/200 - 1/1000    

FCM    1/200 - 1/400    

ELISA    1/10000    

References