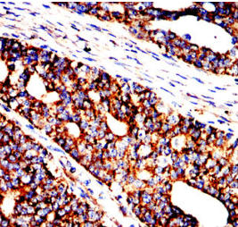
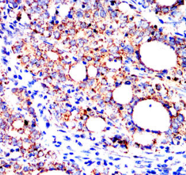
HSPA9 Mouse Monoclonal antibody[3A121]

AccuSift
CSA; MOT; MOT2; SAAN; CRP40; EVPLS; GRP75; PBP74; GRP-75; HSPA9B; SIDBA4; MTHSP75; HEL-S-124m
SKU Name Unit Price Delivery QTY
AC2484 HSPA9 Mouse Monoclonal antibody[3A121] 100ug $367 10days
AC2484 HSPA9 Mouse Monoclonal antibody[3A121] 200ug $660.6 10days

This gene encodes a member of the heat shock protein 70 gene family. The encoded protein is primarily localized to the mitochondria but is also found in the endoplasmic reticulum, plasma membrane and cytoplasmic vesicles. This protein is a heat-shock cognate protein. This protein plays a role in cell proliferation, stress response and maintenance of the mitochondria. A pseudogene of this gene is found on chromosome 2.



Aliases:    CSA; MOT; MOT2; SAAN; CRP40; EVPLS; GRP75; PBP74; GRP-75; HSPA9B; SIDBA4; MTHSP75; HEL-S-124m    

Entrez GeneID:    3313    

Swissprot:    P38646    

WB Predicted band size:    74KDa    

Host/Isotype :   Mouse IgG1    

Species Reactivity:    Human,Rat,Monkey    

Immunogen:    Purified recombinant fragment of human HSPA9 (AA: 480-679) expressed in mammalian.    

Operation

WB    1/500 - 1/2000    

IHC    1/200 - 1/1000    

IF/ICC    1/200 - 1/1000    

FCM    1/200 - 1/400    

ELISA    1/10000    

References