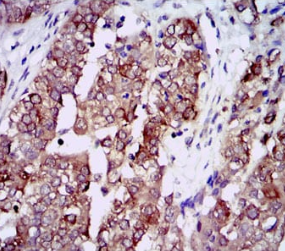
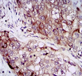
HSP90AA1 Mouse Monoclonal antibody[5G5B9]

AccuSift
HSPN; LAP2; HSP86; HSPC1; HSPCA; Hsp89; Hsp90; HSP89A; HSP90A; HSP90N; HSPCAL1; HSPCAL4
SKU Name Unit Price Delivery QTY
AC2480 HSP90AA1 Mouse Monoclonal antibody[5G5B9] 100ug $367 10days
AC2480 HSP90AA1 Mouse Monoclonal antibody[5G5B9] 200ug $660.6 10days

HSP90 proteins are highly conserved molecular chaperones that have key roles in signal transduction, protein folding, protein degradation, and morphologic evolution. HSP90 proteins normally associate with other cochaperones and play important roles in folding newly synthesized proteins or stabilizing and refolding denatured proteins after stress. There are 2 major cytosolic HSP90 proteins, HSP90AA1, an inducible form, and HSP90AB1 (MIM 140572), a constitutive form. Other HSP90 proteins are found in endoplasmic reticulum (HSP90B1; MIM 191175) and mitochondria (TRAP1; MIM 606219) (Chen et al., 2005 [PubMed 16269234]).



Aliases:    HSPN; LAP2; HSP86; HSPC1; HSPCA; Hsp89; Hsp90; HSP89A; HSP90A; HSP90N; HSPCAL1; HSPCAL4    

Entrez GeneID :   3320    

Swissprot:    P07900    

WB Predicted band size:    90kDa    

Host/Isotype:    Mouse IgG1    

Species Reactivity:    Human,Mouse,Monkey    

Immunogen:    Purified recombinant fragment of human HSP90AA1 expressed in E. Coli.    

Operation

WB    1/500 - 1/2000    

IHC    1/200 - 1/1000    

FCM    1/200 - 1/400    

ELISA    1/10000    

References