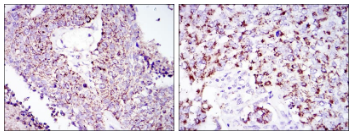
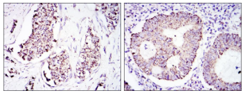
HSP60 Mouse Monoclonal antibody[3G8H8]

AccuSift
HLD4; CPN60; GROEL; HSP60; HSP65; SPG13; HSP-60; HuCHA60; HSPD1
SKU Name Unit Price Delivery QTY
AC2475 HSP60 Mouse Monoclonal antibody[3G8H8] 200ug $400 10days
AC2475 HSP60 Mouse Monoclonal antibody[3G8H8] 200ug $720 10days


This gene encodes a member of the chaperonin family. The encoded mitochondrial protein may function as a signaling molecule in the innate immune system. This protein is essential for the folding and assembly of newly imported proteins in the mitochondria. This gene is adjacent to a related family member and the region between the 2 genes functions as a bidirectional promoter. Several pseudogenes have been associated with this gene. Two transcript variants encoding the same protein have been identified for this gene. Mutations associated with this gene cause autosomal recessive spastic paraplegia 13. (provided by RefSeq)





Aliases:    HLD4; CPN60; GROEL; HSP60; HSP65; SPG13; HSP-60; HuCHA60; HSPD1    

Entrez GeneID:    3329    

Swissprot :   P10809    

WB Predicted band size:    61kDa    

Host/Isotype:    Mouse IgG1    

Species Reactivity:    Human,Mouse,Rat,Monkey    

Immunogen:    Purified recombinant fragment of human HSP60 expressed in E. Coli.    

Operation

WB    1/500 - 1/2000    

IHC    1/200 - 1/1000    

IF/ICC    1/200 - 1/1000    

FCM    1/200 - 1/400    

ELISA    1/10000    

References