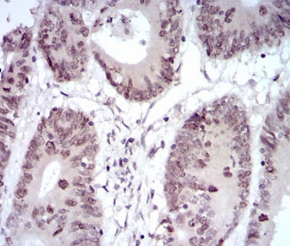
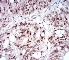
HOXB4 Mouse Monoclonal antibody[3A2F2]

AccuSift
HOX2; HOX2F; HOX-2.6
SKU Name Unit Price Delivery QTY
AC2467 HOXB4 Mouse Monoclonal antibody[3A2F2] 100ug $367 10days
AC2467 HOXB4 Mouse Monoclonal antibody[3A2F2] 200ug $660.6 10days

This gene is a member of the Antp homeobox family and encodes a nuclear protein with a homeobox DNA-binding domain. It is included in a cluster of homeobox B genes located on chromosome 17. The encoded protein functions as a sequence-specific transcription factor that is involved in development. Intracellular or ectopic expression of this protein expands hematopoietic stem and progenitor cells in vivo and in vitro, making it a potential candidate for therapeutic stem cell expansion.



Aliases:    HOX2; HOX2F; HOX-2.6    

Entrez GeneID :   3214    

Swissprot :   P17483    

WB Predicted band size:    27.6kDa    

Host/Isotype:    Mouse IgG2a    

Species Reactivity:    Human    

Immunogen:    Purified recombinant fragment of human HOXB4 (AA: 16-251) expressed in E. Coli.    

Operation

IHC    1/200 - 1/1000    

ELISA    1/10000    

References