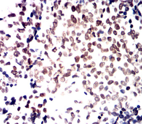
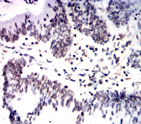
HNF4A Mouse Monoclonal antibody[8D12]

AccuSift
TCF; HNF4; MODY; FRTS4; MODY1; NR2A1; TCF14; HNF4a7; HNF4a8; HNF4a9; NR2A21; TCF-14; HNF4alpha
SKU Name Unit Price Delivery QTY
AC2463 HNF4A Mouse Monoclonal antibody[8D12] 100ug $367 10days
AC2463 HNF4A Mouse Monoclonal antibody[8D12] 200ug $660.6 10days

The protein encoded by this gene is a nuclear transcription factor which binds DNA as a homodimer. The encoded protein controls the expression of several genes, including hepatocyte nuclear factor 1 alpha, a transcription factor which regulates the expression of several hepatic genes. This gene may play a role in development of the liver, kidney, and intestines. Mutations in this gene have been associated with monogenic autosomal dominant non-insulin-dependent diabetes mellitus type I. Alternative splicing of this gene results in multiple transcript variants encoding several different isoforms.



Aliases :   TCF; HNF4; MODY; FRTS4; MODY1; NR2A1; TCF14; HNF4a7; HNF4a8; HNF4a9; NR2A21; TCF-14; HNF4alpha    

Entrez GeneID:    3172    

Swissprot:    P41235      

WB Predicted band size :   53 kDa    

Host/Isotype :   Mouse IgG2b    

Species Reactivity:    Human    

Immunogen :   Purified recombinant fragment of human HNF4A (AA: 1-150) expressed in HEK293-6e cells supernatant.    

Operation

IHC    1/200 - 1/1000    

FCM    1/200 - 1/400    

ELISA    1/10000    

References