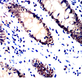
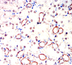
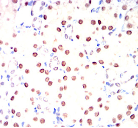
HNF1B Mouse Monoclonal antibody[4H5C2]

AccuSift
T2D; FJHN; HNF2; LFB3; RCAD; TCF2; HPC11; LF-B3; MODY5; TCF-2; VHNF1; ADTKD3; HNF-1B; HNF1beta; HNF-1-beta
SKU Name Unit Price Delivery QTY
AC2461 HNF1B Mouse Monoclonal antibody[4H5C2] 100ug $367 10days
AC2461 HNF1B Mouse Monoclonal antibody[4H5C2] 200ug $660.6 10days

This gene encodes a member of the homeodomain-containing superfamily of transcription factors. The protein binds to DNA as either a homodimer, or a heterodimer with the related protein hepatocyte nuclear factor 1-alpha. The gene has been shown to function in nephron development, and regulates development of the embryonic pancreas. Mutations in this gene result in renal cysts and diabetes syndrome and noninsulin-dependent diabetes mellitus, and expression of this gene is altered in some types of cancer. Multiple transcript variants encoding different isoforms have been found for this gene.



Aliases:    T2D; FJHN; HNF2; LFB3; RCAD; TCF2; HPC11; LF-B3; MODY5; TCF-2; VHNF1; ADTKD3; HNF-1B; HNF1beta; HNF-1-beta    

Entrez GeneID:    6928    

Swissprot:    P35680    

WB Predicted band size:    61.3kDa    

Host/Isotype :   Mouse IgG1    

Species Reactivity:    Human, Mouse, Rat    

Immunogen:    Purified recombinant fragment of human HNF1B (AA: 23-132) expressed in E. Coli.    

Operation

WB    1/500 - 1/2000    

IHC    1/200 - 1/1000    

IF/ICC    1/50 - 1/200    

FCM    1/200 - 1/400    

ELISA    1/10000    

References