HIST2H3C(27Ac) Mouse Monoclonal antibody[6E7A9]

AccuSift
H3; H3.2; H3/M; H3F2; H3FM; H3FN
SKU Name Unit Price Delivery QTY
AC2438 HIST2H3C(27Ac) Mouse Monoclonal antibody[6E7A9] 100ug $367 10days
AC2438 HIST2H3C(27Ac) Mouse Monoclonal antibody[6E7A9] 200ug $660.6 10days

Histones are basic nuclear proteins that are responsible for the nucleosome structure of the chromosomal fiber in eukaryotes. This structure consists of approximately 146 bp of DNA wrapped around a nucleosome, an octamer composed of pairs of each of the four core histones (H2A, H2B, H3, and H4). The chromatin fiber is further compacted through the interaction of a linker histone, H1, with the DNA between the nucleosomes to form higher order chromatin structures. This gene is intronless and encodes a member of the histone H3 family. Transcripts from this gene lack polyA tails; instead, they contain a palindromic termination element. This gene is found in a histone cluster on chromosome 1. This gene is one of four histone genes in the cluster that are duplicated; this record represents the telomeric copy.



Aliases :   H3; H3.2; H3/M; H3F2; H3FM; H3FN    

Entrez GeneID:    126961    

Swissprot:    Q71DI3       

WB Predicted band size:    15.4kDa    

Host/Isotype:    Mouse IgG1    

Species Reactivity:    Human    

Immunogen :   Synthesized peptide of human HIST2H3C (AA: ATKAARK(Ac)SAPATGGV).    

Operation

WB    1/500 - 1/2000    

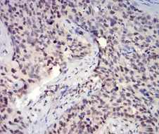
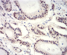
IHC    1/200 - 1/1000    

FCM    1/200 - 1/400    

ELISA    1/10000    

References