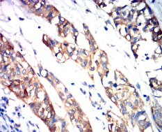
HIF2a Mouse Monoclonal antibody[1H3E1]

AccuSift
HLF; MOP2; ECYT4; HIF2A; PASD2; bHLHe73
SKU Name Unit Price Delivery QTY
AC2434 HIF2a Mouse Monoclonal antibody[1H3E1] 100ug $367 10days
AC2434 HIF2a Mouse Monoclonal antibody[1H3E1] 200ug $660.6 10days

This gene encodes a transcription factor involved in the induction of genes regulated by oxygen, which is induced as oxygen levels fall. The encoded protein contains a basic-helix-loop-helix domain protein dimerization domain as well as a domain found in proteins in signal transduction pathways which respond to oxygen levels. Mutations in this gene are associated with erythrocytosis familial type 4. [provided by RefSeq, Nov 2009]

   


Aliases:    HLF; MOP2; ECYT4; HIF2A; PASD2; bHLHe73    

Entrez GeneID:    2034    

Swissprot:    Q99814      

WB Predicted band size :   96.5kDa    

Host/Isotype :   Mouse IgG1    

Species Reactivity:    Human    

Immunogen:    Purified recombinant fragment of human HIF2a (AA: 680-870) expressed in E. Coli.    

Operation

IHC    1/200 - 1/1000    

IF/ICC    1/200 - 1/1000    

FCM    1/200 - 1/400    

ELISA    1/10000    

References