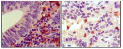
HCK Mouse Monoclonal antibody[3D12E]

AccuSift
SKU Name Unit Price Delivery QTY
AC2418 HCK Mouse Monoclonal antibody[3D12E] 100ug $367 10days
AC2418 HCK Mouse Monoclonal antibody[3D12E] 200ug $660.6 10days

Hemopoietic cell kinase.The protein encoded by this gene is a protein-tyrosine kinase that is predominantly expressed in hemopoietic cell types. The encoded protein may help couple the Fc receptor to the activation of the respiratory burst. In addition, it may play a role in neutrophil migration and in the degranulation of neutrophils. Alternate translation initiation site usage, including a non-AUG (CUG) codon, results in the production of two different isoforms, that have different subcellular localization.



Aliases:    JTK9    

Entrez GeneID:    3055    

Swissprot:    P08631       

Host/Isotype:    Mouse IgG1    

Species Reactivity :   Human    

Immunogen :   Purified recombinant fragment of HCK expressed in E. Coli.    

Operation

IHC    1/200 - 1/1000    

ELISA    1/10000    

References