H2AFX Mouse Monoclonal antibody[4A2D5]

AccuSift
H2AX; H2A.X; H2A/X
SKU Name Unit Price Delivery QTY
AC2408 H2AFX Mouse Monoclonal antibody[4A2D5] 100ug $367 10days
AC2408 H2AFX Mouse Monoclonal antibody[4A2D5] 200ug $660.6 10days

Histones are basic nuclear proteins that are responsible for the nucleosome structure of the chromosomal fiber in eukaryotes. Two molecules of each of the four core histones (H2A, H2B, H3, and H4) form an octamer, around which approximately 146 bp of DNA is wrapped in repeating units, called nucleosomes. The linker histone, H1, interacts with linker DNA between nucleosomes and functions in the compaction of chromatin into higher order structures. This gene encodes a replication-independent histone that is a member of the histone H2A family, and generates two transcripts through the use of the conserved stem-loop termination motif, and the polyA addition motif.



Aliases:    H2AX; H2A.X; H2A/X    

Entrez GeneID:    3014    

Swissprot:    P16104    

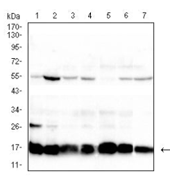
WB Predicted band size:    15.1kDa    

Host/Isotype:    Mouse IgG1    

Species Reactivity:    Human    

Immunogen :   Purified recombinant fragment of human H2AFX expressed in E. Coli.    

Operation

WB    1/500 - 1/2000    

IHC    1/200 - 1/1000    

IF/ICC    1/50 - 1/200    

FCM    1/200 - 1/400    

References