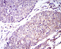
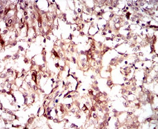
GUCY1A3 Mouse Monoclonal antibody[3G6B2]

AccuSift
GUCA3; GC-SA3; GUC1A3; GUCSA3; GUCY1A1
SKU Name Unit Price Delivery QTY
AC2403 GUCY1A3 Mouse Monoclonal antibody[3G6B2] 100ug $367 10days
AC2403 GUCY1A3 Mouse Monoclonal antibody[3G6B2] 200ug $660.6 10days

Soluble guanylate cyclases are heterodimeric proteins that catalyze the conversion of GTP to 3',5'-cyclic GMP and pyrophosphate. The protein encoded by this gene is an alpha subunit of this complex and it interacts with a beta subunit to form the guanylate cyclase enzyme, which is activated by nitric oxide. Several transcript variants encoding a few different isoforms have been found for this gene.



Aliases :   GUCA3; GC-SA3; GUC1A3; GUCSA3; GUCY1A1    

Entrez GeneID :   2982    

Swissprot :   Q02108      

WB Predicted band size :   77.5kDa    

Host/Isotype :   Mouse IgG1    

Species Reactivity :   Human    

Immunogen  :  Purified recombinant fragment of human GUCY1A3 (AA: 22-214) expressed in E. Coli.    

Operation

WB    1/500 - 1/2000    

IHC    1/200 - 1/1000    

IF/ICC    1/200 - 1/1000    

FCM    1/200 - 1/400    

ELISA    1/10000    

References