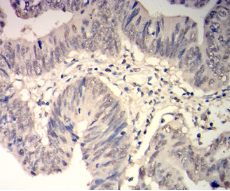
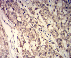
GSTP1 Mouse Monoclonal antibody[1A7B5]

AccuSift
PI; DFN7; GST3; GSTP; FAEES3; HEL-S-22
SKU Name Unit Price Delivery QTY
AC2400 GSTP1 Mouse Monoclonal antibody[1A7B5] 100ug $367 10days
AC2400 GSTP1 Mouse Monoclonal antibody[1A7B5] 200ug $660.6 10days

Glutathione S-transferases (GSTs) are a family of enzymes that play an important role in detoxification by catalyzing the conjugation of many hydrophobic and electrophilic compounds with reduced glutathione. Based on their biochemical, immunologic, and structural properties, the soluble GSTs are categorized into 4 main classes: alpha, mu, pi, and theta. This GST family member is a polymorphic gene encoding active, functionally different GSTP1 variant proteins that are thought to function in xenobiotic metabolism and play a role in susceptibility to cancer, and other diseases.



Aliases :   PI; DFN7; GST3; GSTP; FAEES3; HEL-S-22    

Entrez GeneID:    2950    

Swissprot :   P09211      

WB Predicted band size :   23kDa    

Host/Isotype :   Mouse IgG1    

Species Reactivity:    Human    

Immunogen:    Purified recombinant fragment of human GSTP1 (AA: 2-210) expressed in E. Coli.    

Operation

WB    1/500 - 1/2000    

IHC    1/200-1/1000    

IF/ICC    1/200 - 1/1000    

FCM    1/200-1/400    

ELISA    1/10000    

References