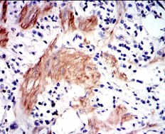
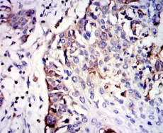
GSTM1 Mouse Monoclonal antibody[1H4F2]

AccuSift
MU; H-B; GST1; GTH4; GTM1; MU-1; GSTM1-1; MGC26563; GSTM1a-1a; GSTM1b-1b
SKU Name Unit Price Delivery QTY
AC2399 GSTM1 Mouse Monoclonal antibody[1H4F2] 100ug $367 10days
AC2399 GSTM1 Mouse Monoclonal antibody[1H4F2] 200ug $660.6 10days

Cytosolic and membrane-bound forms of glutathione S-transferase are encoded by two distinct supergene families. At present, eight distinct classes of the soluble cytoplasmic mammalian glutathione S-transferases have been identified: alpha, kappa, mu, omega, pi, sigma, theta and zeta. This gene encodes a glutathione S-transferase that belongs to the mu class. The mu class of enzymes functions in the detoxification of electrophilic compounds, including carcinogens, therapeutic drugs, environmental toxins and products of oxidative stress, by conjugation with glutathione. The genes encoding the mu class of enzymes are organized in a gene cluster on chromosome 1p13.3 and are known to be highly polymorphic. These genetic variations can change an individual's susceptibility to carcinogens and toxins as well as affect the toxicity and efficacy of certain drugs. Null mutations of this class mu gene have been linked with an increase in a number of cancers, likely due to an increased susceptibility to environmental toxins and carcinogens. Multiple protein isoforms are encoded by transcript variants of this gene.



Aliases:    MU; H-B; GST1; GTH4; GTM1; MU-1; GSTM1-1; MGC26563; GSTM1a-1a; GSTM1b-1b    

Entrez GeneID :   2944    

Swissprot :   P09488     

WB Predicted band size:    26kDa    

Host/Isotype:    Mouse IgG1    

Species Reactivity:    Human,Rat    

Immunogen  :  Purified recombinant fragment of human GSTM1 expressed in E. Coli.    

Operation

WB    1/500 - 1/2000    

IHC    1/200 - 1/1000    

FCM    1/200 - 1/400    

ELISA    1/10000    

References