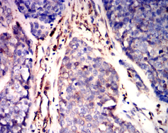
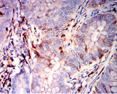
GSN Mouse Monoclonal antibody[5E3B9]

AccuSift
ADF; AGEL
SKU Name Unit Price Delivery QTY
AC2396 GSN Mouse Monoclonal antibody[5E3B9] 100ug $367 10days
AC2396 GSN Mouse Monoclonal antibody[5E3B9] 200ug $660.6 10days

The protein encoded by this gene binds to the "plus" ends of actin monomers and filaments to prevent monomer exchange. The encoded calcium-regulated protein functions in both assembly and disassembly of actin filaments. Defects in this gene are a cause of familial amyloidosis Finnish type (FAF). Multiple transcript variants encoding several different isoforms have been found for this gene.



Aliases:    ADF; AGEL    

Entrez GeneID:    2934    

Swissprot:    P06396     

WB Predicted band size :   85.7kDa    

Host/Isotype :   Mouse IgG1    

Species Reactivity:    Human    

Immunogen:    Purified recombinant fragment of human GSN (AA: (673-783)) expressed in E. Coli.    

Operation

IHC    1/200-1/1000    

FCM    1/200-1/400    

ELISA    1/10000    

References