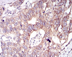
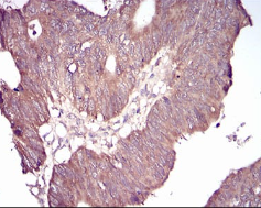
GSK3B Mouse Monoclonal antibody[3D6B4]

AccuSift
SKU Name Unit Price Delivery QTY
AC2395 GSK3B Mouse Monoclonal antibody[3D6B4] 100ug $367 10days
AC2395 GSK3B Mouse Monoclonal antibody[3D6B4] 200ug $660.6 10days

The protein encoded by this gene is a serine-threonine kinase, belonging to the glycogen synthase kinase subfamily. It is involved in energy metabolism, neuronal cell development, and body pattern formation. Polymorphisms in this gene have been implicated in modifying risk of Parkinson disease, and studies in mice show that overexpression of this gene may be relevant to the pathogenesis of Alzheimer disease. Alternatively spliced transcript variants encoding different isoforms have been found for this gene.



Entrez GeneID:    2932    

Swissprot:    P49841     

WB Predicted band size:    46.7kDa    

Host/Isotype :   Mouse IgG1    

Species Reactivity :   Human,Mouse    

Immunogen:    Purified recombinant fragment of human GSK3B (AA: 2-159) expressed in E. Coli.    

Operation

IHC    1/200 - 1/1000    

FCM    1/200 - 1/400    

ELISA    1/10000    

References