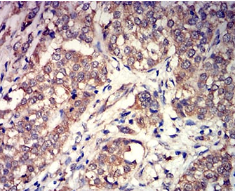
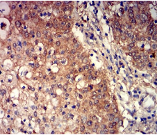
GRM3 Mouse Monoclonal antibody[6H132]

AccuSift
GLUR3; mGlu3; GPRC1C; MGLUR3
SKU Name Unit Price Delivery QTY
AC2380 GRM3 Mouse Monoclonal antibody[6H132] 100ug $367 10days
AC2380 GRM3 Mouse Monoclonal antibody[6H132] 200ug $660.6 10days

L-glutamate is the major excitatory neurotransmitter in the central nervous system and activates both ionotropic and metabotropic glutamate receptors. Glutamatergic neurotransmission is involved in most aspects of normal brain function and can be perturbed in many neuropathologic conditions. The metabotropic glutamate receptors are a family of G protein-coupled receptors, that have been divided into 3 groups on the basis of sequence homology, putative signal transduction mechanisms, and pharmacologic properties. Group I includes GRM1 and GRM5 and these receptors have been shown to activate phospholipase C. Group II includes GRM2 and GRM3 while Group III includes GRM4, GRM6, GRM7 and GRM8. Group II and III receptors are linked to the inhibition of the cyclic AMP cascade but differ in their agonist selectivities.



Aliases:    GLUR3; mGlu3; GPRC1C; MGLUR3    

Entrez GeneID :   2913    

Swissprot :   Q14832    

WB Predicted band size:    99kDa    

Host/Isotype:    Mouse IgG1    

Species Reactivity :   Human    

Immunogen :   Purified recombinant fragment of human GRM3 (AA: extra 433-576) expressed in E. Coli.    

Operation

IHC    1/200 - 1/1000    

FCM    1/200 - 1/400    

ELISA    1/10000    

References