GRIK4 Mouse Monoclonal antibody[8H5H]

AccuSift
KA1; EAA1; GRIK; GluK4
SKU Name Unit Price Delivery QTY
AC2371 GRIK4 Mouse Monoclonal antibody[8H5H] 100ug $367 10days
AC2371 GRIK4 Mouse Monoclonal antibody[8H5H] 200ug $660.6 10days

This gene encodes a protein that belongs to the glutamate-gated ionic channel family. Glutamate functions as the major excitatory neurotransmitter in the central nervous system through activation of ligand-gated ion channels and G protein-coupled membrane receptors. The protein encoded by this gene forms functional heteromeric kainate-preferring ionic channels with the subunits encoded by related gene family members. Alternatively spliced transcript variants encoding different isoforms have been found for this gene.



Aliases :   KA1; EAA1; GRIK; GluK4    

Entrez GeneID:    2900    

Swissprot:    Q16099    

WB Predicted band size:    107.2kDa    

Host/Isotype :   Mouse IgG2b    

Species Reactivity:    Human    

Immunogen:    Purified recombinant fragment of human GRIK4 (AA: extra 21-166) expressed in E. Coli.    

Operation

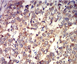
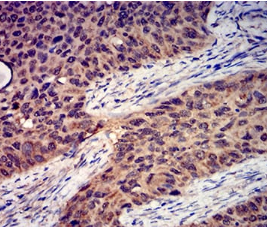
IHC    1/200 - 1/1000    

IF/ICC    1/200 - 1/1000    

FCM    1/200 - 1/400    

ELISA    1/10000    

References