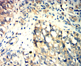
GPR56 Mouse Monoclonal antibody[3A1D7]

AccuSift
BFPP; BPPR; ADGRG1; TM7LN4; TM7XN1
SKU Name Unit Price Delivery QTY
AC2360 GPR56 Mouse Monoclonal antibody[3A1D7] 100ug $367 10days
AC2360 GPR56 Mouse Monoclonal antibody[3A1D7] 200ug $660.6 10days

This gene encodes a member of the G protein-coupled receptor family and regulates brain cortical patterning. The encoded protein binds specifically to transglutaminase 2, a component of tissue and tumor stroma implicated as an inhibitor of tumor progression. Mutations in this gene are associated with a brain malformation known as bilateral frontoparietal polymicrogyria. Alternative splicing results in multiple transcript variants.



Aliases:    BFPP; BPPR; ADGRG1; TM7LN4; TM7XN1    

Entrez GeneID :   9289    

Swissprot:    Q9Y653    

WB Predicted band size:    77.7kDa    

Host/Isotype :   Mouse IgG1    

Species Reactivity:    Human    

Immunogen:    Purified recombinant fragment of human GPR56 (AA: extra(26-225)) expressed in E. Coli.    

Operation

IHC    1/200 - 1/1000    

FCM    1/200 - 1/400    

ELISA    1/10000    

References