GPC3 Mouse Monoclonal antibody[4D5B1]

AccuSift
SGB; DGSX; MXR7; SDYS; SGBS; OCI-5; SGBS1; GTR2-2
SKU Name Unit Price Delivery QTY
AC2354 GPC3 Mouse Monoclonal antibody[4D5B1] 100ug $367 10days
AC2354 GPC3 Mouse Monoclonal antibody[4D5B1] 200ug $660.6 10days

Cell surface heparan sulfate proteoglycans are composed of a membrane-associated protein core substituted with a variable number of heparan sulfate chains. Members of the glypican-related integral membrane proteoglycan family (GRIPS) contain a core protein anchored to the cytoplasmic membrane via a glycosyl phosphatidylinositol linkage. These proteins may play a role in the control of cell division and growth regulation. The protein encoded by this gene can bind to and inhibit the dipeptidyl peptidase activity of CD26, and it can induce apoptosis in certain cell types. Deletion mutations in this gene are associated with Simpson-Golabi-Behmel syndrome, also known as Simpson dysmorphia syndrome. Alternative splicing results in multiple transcript variants.



Aliases :   SGB; DGSX; MXR7; SDYS; SGBS; OCI-5; SGBS1; GTR2-2    

Entrez GeneID:    2719    

Swissprot:    P51654    

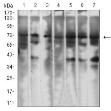
WB Predicted band size:    65.5kDa    

Host/Isotype :   Mouse IgG1    

Species Reactivity:    Human, Rat    

Immunogen:    Purified recombinant fragment of human GPC3 (AA: 359-554) expressed in E. Coli.    

Operation

WB    1/500 - 1/2000    

FCM    1/200 - 1/400    

ELISA    1/10000    

References