GOLGA2 Mouse Monoclonal antibody[2D5D1]

AccuSift
GM130
SKU Name Unit Price Delivery QTY
AC2349 GOLGA2 Mouse Monoclonal antibody[2D5D1] 100ug $367 10days
AC2349 GOLGA2 Mouse Monoclonal antibody[2D5D1] 200ug $660.6 10days

The Golgi apparatus, which participates in glycosylation and transport of proteins and lipids in the secretory pathway, consists of a series of stacked cisternae (flattened membrane sacs). Interactions between the Golgi and microtubules are thought to be important for the reorganization of the Golgi after it fragments during mitosis. This gene encodes one of the golgins, a family of proteins localized to the Golgi. This encoded protein has been postulated to play roles in the stacking of Golgi cisternae and in vesicular transport. Several alternatively spliced transcript variants of this gene have been described, but the full-length nature of these variants has not been determined.



Aliases:    GM130    

Entrez GeneID :   2801    

Swissprot:    Q08379      

WB Predicted band size :   113kDa    

Host/Isotype:    Mouse IgG1    

Species Reactivity:    Human    

Immunogen:    Purified recombinant fragment of human GOLGA2 (AA: 1-205) expressed in HEK293-6e cells supernatant.    

Operation

WB    1/500 - 1/2000    

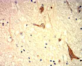
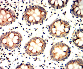
IHC    1/200 - 1/1000    

IF/ICC    1/50 - 1/200    

FCM    1/200 - 1/400    

ELISA    1/10000    

References