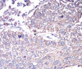
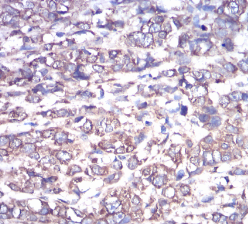
GNAS Mouse Monoclonal antibody[2A2B7]

AccuSift
AHO; GSA; GSP; POH; GPSA; NESP; GNAS1; PHP1A; PHP1B; PHP1C; C20orf45
SKU Name Unit Price Delivery QTY
AC2344 GNAS Mouse Monoclonal antibody[2A2B7] 100ug $367 10days
AC2344 GNAS Mouse Monoclonal antibody[2A2B7] 200ug $660.6 10days

This locus has a highly complex imprinted expression pattern. It gives rise to maternally, paternally, and biallelically expressed transcripts that are derived from four alternative promoters and 5' exons. Some transcripts contain a differentially methylated region (DMR) at their 5' exons, and this DMR is commonly found in imprinted genes and correlates with transcript expression. An antisense transcript is produced from an overlapping locus on the opposite strand. One of the transcripts produced from this locus, and the antisense transcript, are paternally expressed noncoding RNAs, and may regulate imprinting in this region. In addition, one of the transcripts contains a second overlapping ORF, which encodes a structurally unrelated protein - Alex. Alternative splicing of downstream exons is also observed, which results in different forms of the stimulatory G-protein alpha subunit, a key element of the classical signal transduction pathway linking receptor-ligand interactions with the activation of adenylyl cyclase and a variety of cellular reponses. Multiple transcript variants encoding different isoforms have been found for this gene. Mutations in this gene result in pseudohypoparathyroidism type 1a, pseudohypoparathyroidism type 1b, Albright hereditary osteodystrophy, pseudopseudohypoparathyroidism, McCune-Albright syndrome, progressive osseus heteroplasia, polyostotic fibrous dysplasia of bone, and some pituitary tumors. [provided by RefSeq, Aug 2012]



Aliases :   AHO; GSA; GSP; POH; GPSA; NESP; GNAS1; PHP1A; PHP1B; PHP1C; C20orf45    

Entrez GeneID :   2778    

Swissprot :   P63092    

WB Predicted band size:    45.7kDa    

Host/Isotype:    Mouse IgG2a    

Species Reactivity:    Human    

Immunogen :   Purified recombinant fragment of human GNAS (AA: 42-188) expressed in E. Coli.    

Operation

IHC    1/200 - 1/1000    

FCM    1/200 - 1/400    

ELISA    1/10000    

References