GAPDH Mouse Monoclonal antibody[2D4A2]

AccuSift
G3PD; GAPD; MGC88685; GAPDH
SKU Name Unit Price Delivery QTY
AC2314 GAPDH Mouse Monoclonal antibody[2D4A2] 200ug $400 10days
AC2314 GAPDH Mouse Monoclonal antibody[2D4A2] 200ug $720 10days

Glyceraldehyde-3-phosphate dehydrogenase (GAPDH) is well known as one of the key enzymes involved in glycolysis. It catalyzes an important energy-yielding step in carbohydrate metabolism, the reversible oxidative phosphorylation of glyceraldehyde-3-phosphate in the presence of inorganic phosphate and nicotinamide adenine dinucleotide (NAD). The enzyme exists as a tetramer of identical chains. Besides its functioning as a glycolytic enzyme in cytoplasm, recent evidence suggest that mammalian GAPDH is also involved in a great number of intracellular proceses such as membrane fusion, microtubule bundling, phosphotransferase activity, nuclear RNA export, DNA replication, and DNA repair. During the last decade a lot of findings appeared concerning the role of GAPDH in different pathologies including prostate cancer progression, programmed neuronal cell death, age- related neuronal diseases, such as Alzheimer



Aliases:    G3PD; GAPD; MGC88685;Glyceraldehyde-3-phosphate dehydrogenase    

Entrez GeneID :   2597    

Swissprot :   P04406    

WB Predicted band size:    37kDa    

Host/Isotype:    Mouse IgG1    

Species Reactivity :   Human,Mouse,Rat,Rabbit,Monkey,Pig    

Immunogen :   Purified recombinant fragment of human GAPDH expressed in E. Coli.    

Operation

WB    1/5000- 1/20000    

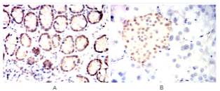
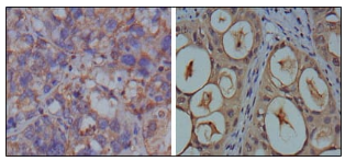
IHC    1/200 - 1/1000    

IF/ICC    1/200 - 1/1000    

FCM    1/200 - 1/400    

ELISA    1/10000    

References