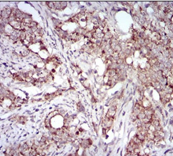
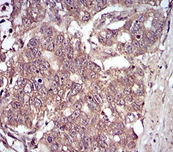
GAB2 Mouse Monoclonal antibody[1F6D9]

AccuSift
SKU Name Unit Price Delivery QTY
AC2308 GAB2 Mouse Monoclonal antibody[1F6D9] 100ug $367 10days
AC2308 GAB2 Mouse Monoclonal antibody[1F6D9] 200ug $660.6 10days

This gene is a member of the GRB2-associated binding protein (GAB) gene family. These proteins contain pleckstrin homology (PH) domain, and bind SHP2 tyrosine phosphatase and GRB2 adapter protein. They act as adapters for transmitting various signals in response to stimuli through cytokine and growth factor receptors, and T- and B-cell antigen receptors. The protein encoded by this gene is the principal activator of phosphatidylinositol-3 kinase in response to activation of the high affinity IgE receptor. Two alternatively spliced transcripts encoding different isoforms have been described for this gene.



Entrez GeneID:    9846    

Swissprot:    Q9UQC2      

WB Predicted band size:    74.5kDa    

Host/Isotype:    Mouse IgG2a    

Species Reactivity:    Human    

Immunogen:   Purified recombinant fragment of human GAB2 (AA: 332-476) expressed in E. Coli.    

Operation

IHC    1/200 - 1/1000    

IF/ICC    1/200 - 1/1000    

FCM    1/200 - 1/400    

ELISA    1/10000    

References