FTL Mouse Monoclonal antibody[8E1E7]

AccuSift
NBIA3
SKU Name Unit Price Delivery QTY
AC2297 FTL Mouse Monoclonal antibody[8E1E7] 100ug $367 10days
AC2297 FTL Mouse Monoclonal antibody[8E1E7] 200ug $660.6 10days

This gene encodes the light subunit of the ferritin protein. Ferritin is the major intracellular iron storage protein in prokaryotes and eukaryotes. It is composed of 24 subunits of the heavy and light ferritin chains. Variation in ferritin subunit composition may affect the rates of iron uptake and release in different tissues. A major function of ferritin is the storage of iron in a soluble and nontoxic state. Defects in this light chain ferritin gene are associated with several neurodegenerative diseases and hyperferritinemia-cataract syndrome. This gene has multiple pseudogenes.



Aliases:    NBIA3    

Entrez GeneID:    2512    

Swissprot :   P02792    

WB Predicted band size:    20kDa    

Host/Isotype:    Mouse IgG1    

Species Reactivity:    Human,Mouse    

Immunogen:    Purified recombinant fragment of human FTL (AA: FULL(1-157)) expressed in E. Coli.    

Operation

WB    1/500 - 1/2000    

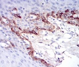
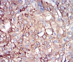
IHC    1/200 - 1/1000    

IF/ICC    1/200 - 1/1000    

ELISA    1/10000    

References