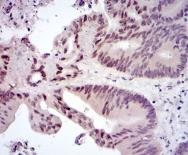
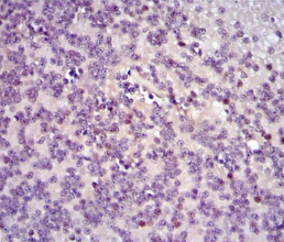
FOS Mouse Monoclonal antibody[2G2A1]

AccuSift
p55; AP-1; C-FOS
SKU Name Unit Price Delivery QTY
AC2273 FOS Mouse Monoclonal antibody[2G2A1] 100ug $367 10days
AC2273 FOS Mouse Monoclonal antibody[2G2A1] 200ug $660.6 10days

The Fos gene family consists of 4 members: FOS, FOSB, FOSL1, and FOSL2. These genes encode leucine zipper proteins that can dimerize with proteins of the JUN family, thereby forming the transcription factor complex AP-1. As such, the FOS proteins have been implicated as regulators of cell proliferation, differentiation, and transformation. In some cases, expression of the FOS gene has also been associated with apoptotic cell death.



Aliases:    p55; AP-1; C-FOS    

Entrez GeneID:    2353    

Swissprot :   P01100    

WB Predicted band size:    40.7kDa    

Host/Isotype :   Mouse IgG1    

Species Reactivity :   Human    

Immunogen :   Purified recombinant fragment of human FOS expressed in E. Coli.    

Operation

WB    1/500 - 1/2000    

IHC    1/200 - 1/1000    

FCM    1/200 - 1/400    

ELISA    1/10000    

References