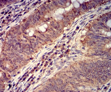
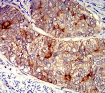
FOLR1 Mouse Monoclonal antibody[2G5C1]

AccuSift
FBP; FOLR
SKU Name Unit Price Delivery QTY
AC2271 FOLR1 Mouse Monoclonal antibody[2G5C1] 100ug $367 10days
AC2271 FOLR1 Mouse Monoclonal antibody[2G5C1] 200ug $660.6 10days

The protein encoded by this gene is a member of the folate receptor family. Members of this gene family bind folic acid and its reduced derivatives, and transport 5-methyltetrahydrofolate into cells. This gene product is a secreted protein that either anchors to membranes via a glycosyl-phosphatidylinositol linkage or exists in a soluble form. Mutations in this gene have been associated with neurodegeneration due to cerebral folate transport deficiency. Due to the presence of two promoters, multiple transcription start sites, and alternative splicing, multiple transcript variants encoding the same protein have been found for this gene.



Aliases :   FBP; FOLR    

Entrez GeneID :   2348    

Swissprot:    P15328    

WB Predicted band size:    29.8kDa    

Host/Isotype:    Mouse IgG2a    

Species Reactivity:    Human    

Immunogen :   Purified recombinant fragment of human FOLR1 (AA: 41-227) expressed in E. Coli.    

Operation

IHC    1/200 - 1/1000    

IF/ICC    1/100 - 1/500    

FCM    1/200 - 1/400    

ELISA    1/10000    

References