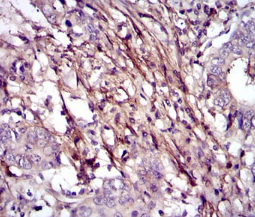
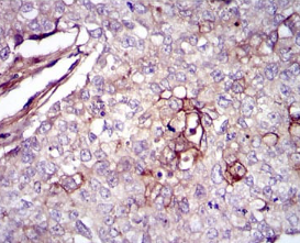
FN1 Mouse Monoclonal antibody[2F4D8]

AccuSift
FN; CIG; FNZ; MSF; ED-B; FINC; GFND; LETS; GFND2
SKU Name Unit Price Delivery QTY
AC2269 FN1 Mouse Monoclonal antibody[2F4D8] 100ug $367 10days
AC2269 FN1 Mouse Monoclonal antibody[2F4D8] 200ug $660.6 10days

This gene encodes fibronectin, a glycoprotein present in a soluble dimeric form in plasma, and in a dimeric or multimeric form at the cell surface and in extracellular matrix. Fibronectin is involved in cell adhesion and migration processes including embryogenesis, wound healing, blood coagulation, host defense, and metastasis. The gene has three regions subject to alternative splicing, with the potential to produce 20 different transcript variants. However, the full-length nature of some variants has not been determined.



Aliases:    FN; CIG; FNZ; MSF; ED-B; FINC; GFND; LETS; GFND2    

Entrez GeneID :   2335    

Swissprot:    P02751    

WB Predicted band size:    262.6kDa    

Host/Isotype :   Mouse IgG1    

Species Reactivity:    Human    

Immunogen :   Purified recombinant fragment of human FN1 expressed in E. Coli.    

Operation

IHC    1/200 - 1/1000    

FCM    1/200 - 1/400    

ELISA    1/10000    

References