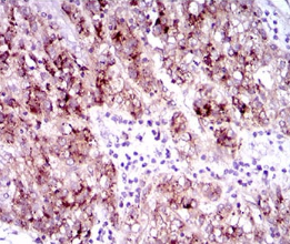
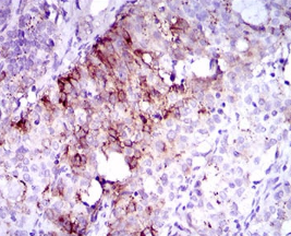
FLT3 Mouse Monoclonal antibody[7B7C3]

AccuSift
FLK2; STK1; CD135; FLK-2
SKU Name Unit Price Delivery QTY
AC2266 FLT3 Mouse Monoclonal antibody[7B7C3] 100ug $367 10days
AC2266 FLT3 Mouse Monoclonal antibody[7B7C3] 200ug $660.6 10days

This gene encodes a class III receptor tyrosine kinase that regulates hematopoiesis. The receptor consists of an extracellular domain composed of five immunoglobulin-like domains, one transmembrane region, and a cytoplasmic kinase domain split into two parts by a kinase-insert domain. The receptor is activated by binding of the fms-related tyrosine kinase 3 ligand to the extracellular domain, which induces homodimer formation in the plasma membrane leading to autophosphorylation of the receptor. The activated receptor kinase subsequently phosphorylates and activates multiple cytoplasmic effector molecules in pathways involved in apoptosis, proliferation, and differentiation of hematopoietic cells in bone marrow. Mutations that result in the constitutive activation of this receptor result in acute myeloid leukemia and acute lymphoblastic leukemia.



Aliases:    FLK2; STK1; CD135; FLK-2    

Entrez GeneID:    2322    

Swissprot :   P36888    

WB Predicted band size:    130kDa    

Host/Isotype:    Mouse IgG1    

Species Reactivity:    Human    

Immunogen :   Purified recombinant fragment of human FLT3 (AA: 930-991) expressed in E. Coli.    

Operation

IHC    1/200 - 1/1000    

ELISA    1/10000    

References