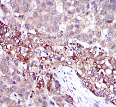
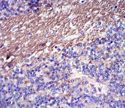
FGG Mouse Monoclonal antibody[4H9C9]

AccuSift
FGG
SKU Name Unit Price Delivery QTY
AC2253 FGG Mouse Monoclonal antibody[4H9C9] 100ug $367 10days
AC2253 FGG Mouse Monoclonal antibody[4H9C9] 200ug $660.6 10days

The protein encoded by this gene is the gamma component of fibrinogen, a blood-borne glycoprotein comprised of three pairs of nonidentical polypeptide chains. Following vascular injury, fibrinogen is cleaved by thrombin to form fibrin which is the most abundant component of blood clots. In addition, various cleavage products of fibrinogen and fibrin regulate cell adhesion and spreading, display vasoconstrictor and chemotactic activities, and are mitogens for several cell types. Mutations in this gene lead to several disorders, including dysfibrinogenemia, hypofibrinogenemia and thrombophilia. Alternative splicing results in two transcript variants encoding different isoforms.



Aliases:    FGG    

Entrez GeneID :   2266    

Swissprot:    P02679    

WB Predicted band size:    52kDa    

Host/Isotype :   Mouse IgG2a    

Species Reactivity:    Human    

Immunogen :   Purified recombinant fragment of human FGG expressed in E. Coli.    

Operation

IHC    1/200 - 1/1000    

IF/ICC    1/200 - 1/1000    

FCM    1/200 - 1/400    

ELISA    1/10000    

References