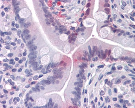
FABP2 Mouse Monoclonal antibody[9A9B7]

AccuSift
FABPI; I-FABP; MGC133132; FABP2
SKU Name Unit Price Delivery QTY
AC2217 FABP2 Mouse Monoclonal antibody[9A9B7] 100ug $367 10days
AC2217 FABP2 Mouse Monoclonal antibody[9A9B7] 200ug $660.6 10days

The intracellular fatty acid-binding proteins (FABPs) belong to a multigene family with nearly twenty identified members. FABPs are divided into at least three distinct types, namely the hepatic-, intestinal- and cardiac-type. They form 14-15 kDa proteins and are thought to participate in the uptake, intracellular metabolism and/or transport of long-chain fatty acids. They may also be responsible in the modulation of cell growth and proliferation. Intestinal fatty acid-binding protein 2 gene contains four exons and is an abundant cytosolic protein in small intestine epithelial cells. This gene has a polymorphism at codon 54 that identified an alanine-encoding allele and a threonine-encoding allele. Thr-54 protein is associated with increased fat oxidation and insulin resistance. Genetic variation in FABP2 may thus contribute to interindividual variation in the response of plasma lipoproteins to different dietary fibres, but the mechanism does not appear to be related to increases in fecal bile acid secretion.



Aliases:    FABPI; I-FABP; MGC133132; FABP2    

Entrez GeneID:    2169    

Swissprot:    P12104    

WB Predicted band size:    15kDa    

Host/Isotype:    Mouse IgG1    

Species Reactivity:    Human    

Immunogen:    Purified recombinant fragment of human FABP2 expressed in E. Coli.    

Operation

WB    1/500 - 1/2000    

IHC    1/200 - 1/1000    

IF/ICC    1/200 - 1/1000    

FCM    1/200 - 1/400    

ELISA    1/10000    

References