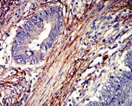
F2R Mouse Monoclonal antibody[5E2E6]

AccuSift
TR; HTR; CF2R; PAR1; PAR-1
SKU Name Unit Price Delivery QTY
AC2214 F2R Mouse Monoclonal antibody[5E2E6] 100ug $367 10days
AC2214 F2R Mouse Monoclonal antibody[5E2E6] 200ug $660.6 10days

Coagulation factor II receptor is a 7-transmembrane receptor involved in the regulation of thrombotic response. Proteolytic cleavage leads to the activation of the receptor. F2R is a G-protein coupled receptor family member. Alternative splicing results in multiple transcript variants.



Aliases:    TR; HTR; CF2R; PAR1; PAR-1    

Entrez GeneID:    2149    

Swissprot:    P25116    

WB Predicted band size :   47.4kDa    

Host/Isotype :   Mouse IgG1    

Species Reactivity :   Human    

Immunogen:    Purified recombinant fragment of human F2R (AA: 42-176) expressed in E. Coli.    

Operation

IHC    1/200 - 1/1000    

ELISA    1/10000    

References