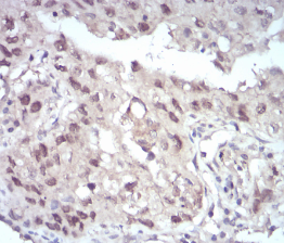
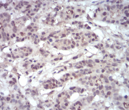
EZH2 Mouse Monoclonal antibody[6G4F4]

AccuSift
WVS; ENX1; EZH1; KMT6; WVS2; ENX-1; EZH2b; KMT6A
SKU Name Unit Price Delivery QTY
AC2211 EZH2 Mouse Monoclonal antibody[6G4F4] 100ug $367 10days
AC2211 EZH2 Mouse Monoclonal antibody[6G4F4] 200ug $660.6 10days

This gene encodes a member of the Polycomb-group (PcG) family. PcG family members form multimeric protein complexes, which are involved in maintaining the transcriptional repressive state of genes over successive cell generations. This protein associates with the embryonic ectoderm development protein, the VAV1 oncoprotein, and the X-linked nuclear protein. This protein may play a role in the hematopoietic and central nervous systems. Multiple alternatively splcied transcript variants encoding distinct isoforms have been identified for this gene.



Aliases:    WVS; ENX1; EZH1; KMT6; WVS2; ENX-1; EZH2b; KMT6A    

Entrez GeneID:    2146    

Swissprot:    Q15910    

WB Predicted band size:    85.4kDa    

Host/Isotype:    Mouse IgG1    

Species Reactivity:    Human    

Immunogen:    Purified recombinant fragment of human EZH2 (AA: 1-194) expressed in E. Coli.    

Operation

IHC    1/200 - 1/1000    

FCM    1/200 - 1/400    

ELISA    1/10000    

References