ETV5 Mouse Monoclonal antibody[3H3C]

AccuSift
ERM; ETV5
SKU Name Unit Price Delivery QTY
AC2208 ETV5 Mouse Monoclonal antibody[3H3C] 100ug $367 10days
AC2208 ETV5 Mouse Monoclonal antibody[3H3C] 200ug $660.6 10days

ETS variant 5,transcription factor of the ETS family,divergent member of the winged helix-turn-helix superfamily,expressed in brain,placenta and other tissues involved in development. Tissue specificity: Ubiquitous. ERM is expressed in Sertoli cells and spermatogonial stem cells (SSCs). Studies on knockout mice have shown that it is required for SSC self-renewal but not differentiation, thus affected mice exhibit progressive germ cell depletion.



Aliases:    ERM; ETV5    

Entrez GeneID:    2119    

Swissprot:    P41161    

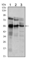
WB Predicted band size :   58kDa    

Host/Isotype:    Mouse IgG1    

Species Reactivity:    Human    

Immunogen:    Purified recombinant fragment of human ETV5 expressed in E. Coli.    

Operation

WB    1/500 - 1/2000    

ELISA    1/10000    

References