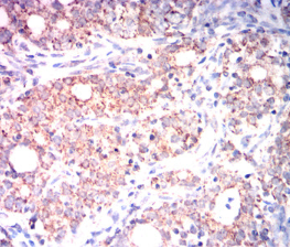
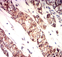
ETFA Mouse Monoclonal antibody[7C2A1]

AccuSift
EMA; GA2; MADD
SKU Name Unit Price Delivery QTY
AC2203 ETFA Mouse Monoclonal antibody[7C2A1] 100ug $367 10days
AC2203 ETFA Mouse Monoclonal antibody[7C2A1] 200ug $660.6 10days

ETFA participates in catalyzing the initial step of the mitochondrial fatty acid beta-oxidation. It shuttles electrons between primary flavoprotein dehydrogenases and the membrane-bound electron transfer flavoprotein ubiquinone oxidoreductase. Defects in electron-transfer-flavoprotein have been implicated in type II glutaricaciduria in which multiple acyl-CoA dehydrogenase deficiencies result in large excretion of glutaric, lactic, ethylmalonic, butyric, isobutyric, 2-methyl-butyric, and isovaleric acids. Two transcript variants encoding different isoforms have been found for this gene. [provided by RefSeq, Jul 2008]



Aliases:    EMA; GA2; MADD    

Entrez GeneID:    2108    

Swissprot:   P13804    

WB Predicted band size:    35kDa    

Host/Isotype:    Mouse IgG1    

Species Reactivity:    Human    

Immunogen:    Purified recombinant fragment of human ETFA (AA: 134-333) expressed in E. Coli.    

Operation

WB    1/500 - 1/2000    

IHC    1/200 - 1/1000    

FCM    1/200 - 1/400    

ELISA    1/10000    

References