ERK2 Mouse Monoclonal antibody[4C11C]

AccuSift
ERK; p38; p40; p41; ERK2; ERT1; MAPK2; PRKM1; PRKM2; P42MAPK; p41mapk; MAPK1
SKU Name Unit Price Delivery QTY
AC2191 ERK2 Mouse Monoclonal antibody[4C11C] 100ug $367 10days
AC2191 ERK2 Mouse Monoclonal antibody[4C11C] 200ug $660.6 10days

ERK2 (also designated extracellular-signal-related kinase 2 or mitogen-activated protein kinase 1), with 360-amino acid protein (about 40kDa), belongs to the MAP kinase family. MAP kinases act as an integration point for multiple biochemical signals, and are involved in a wide variety of cellular processes such as proliferation, differentiation, transcription regulation and development. The activation of ERK2 requires its phosphorylation by upstream kinases. ERK2 is located in the cytoplasm of resting cells and translocates into the nucleus upon extracellular stimuli by active transport of a dimer. ERK2 is essential for placental development and ERK2 in the trophoblast compartment may be indispensable for the vascularization of the labyrinth.



Aliases:    ERK; p38; p40; p41; ERT1; MAPK2; PRKM1; P42MAPK; p41mapk; MAPK1    

Entrez GeneID:    5594    

Swissprot:    P28482    

WB Predicted band size:    41kDa    

Host/Isotype:    Mouse IgG2a    

Species Reactivity:    Human,Mouse,Monkey    

Immunogen:    Purified recombinant fragment of human ERK2 expressed in E. Coli.    

Operation

WB    1/500 - 1/2000    

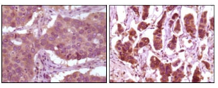
IHC    1/200 - 1/1000    

IF/ICC    1/200 - 1/1000    

ELISA    1/10000    

References