ERCC1 Mouse Monoclonal antibody[5A2C3]

AccuSift
UV20; COFS4; RAD10
SKU Name Unit Price Delivery QTY
AC2189 ERCC1 Mouse Monoclonal antibody[5A2C3] 100ug $367 10days
AC2189 ERCC1 Mouse Monoclonal antibody[5A2C3] 200ug $660.6 10days

The product of this gene functions in the nucleotide excision repair pathway, and is required for the repair of DNA lesions such as those induced by UV light or formed by electrophilic compounds including cisplatin. The encoded protein forms a heterodimer with the XPF endonuclease (also known as ERCC4), and the heterodimeric endonuclease catalyzes the 5' incision in the process of excising the DNA lesion. The heterodimeric endonuclease is also involved in recombinational DNA repair and in the repair of inter-strand crosslinks. Mutations in this gene result in cerebrooculofacioskeletal syndrome, and polymorphisms that alter expression of this gene may play a role in carcinogenesis. Multiple transcript variants encoding different isoforms have been found for this gene. The last exon of this gene overlaps with the CD3e molecule, epsilon associated protein gene on the opposite strand.



Aliases :   UV20; COFS4; RAD10    

Entrez GeneID :   2067    

Swissprot:    P07992    

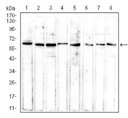
WB Predicted band size:    32.5kDa    

Host/Isotype:    Mouse IgG1    

Species Reactivity :   Human, Mouse    

Immunogen  :  Purified recombinant fragment of human ERCC1 (AA: 1-297) expressed in E. Coli.    

Operation

WB    1/500 - 1/2000    

IHC    1/200 - 1/1000    

IF/ICC    1/200 - 1/1000    

FCM    1/200 - 1/400    

ELISA    1/10000    

References