EphA1 Mouse Monoclonal antibody[5D2A4]

AccuSift
EPH; EPHT; EPHT1; MGC163163; EPHA1
SKU Name Unit Price Delivery QTY
AC2156 EphA1 Mouse Monoclonal antibody[5D2A4] 100ug $367 10days
AC2156 EphA1 Mouse Monoclonal antibody[5D2A4] 200ug $660.6 10days

EPH receptor A1 (EphA1), with 976-amino acid protein(about 107 kDa), belongs to the ephrin receptor subfamily of the protein-tyrosine kinase family. The Eph subfamily represents the largest group of receptor protein tyrosine kinases identified to date and their ligands, the ephrins,can be subdivided into two major subclasses, ephrin-A and ephrin-B. Interaction of Eph receptor tyrosine kinases with their membrane bound ephrin ligands initiates bidirectional signaling events that regulate cell migratory and adhesive behavior, particularly in the nervous system. They have been implicated in various developmental processes, including axonal guidance, angiogenesis, morphogenesis and carcinogenesis.



Aliases:    EPH; EPHT; EPHT1    

Entrez GeneID:   2041    

Swissprot:   P21709    

WB Predicted band size :   108kDa    

Host/Isotype:    Mouse IgG1    

Species Reactivity:    Human    

Immunogen:    Purified recombinant fragment of EphA1 expressed in E. Coli.    

Operation

WB    1/500 - 1/2000    

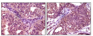
IHC    1/200 - 1/1000    

ELISA    1/10000    

References