ELANE Mouse Monoclonal antibody[6B6G6]

AccuSift
GE; NE; HLE; HNE; ELA2; SCN1; PMN-E
SKU Name Unit Price Delivery QTY
AC2143 ELANE Mouse Monoclonal antibody[6B6G6] 100ug $367 10days
AC2143 ELANE Mouse Monoclonal antibody[6B6G6] 200ug $660.6 10days

Elastases form a subfamily of serine proteases that hydrolyze many proteins in addition to elastin. Humans have six elastase genes which encode structurally similar proteins. The encoded preproprotein is proteolytically processed to generate the active protease. Following activation, this protease hydrolyzes proteins within specialized neutrophil lysosomes, called azurophil granules, as well as proteins of the extracellular matrix. The enzyme may play a role in degenerative and inflammatory diseases through proteolysis of collagen-IV and elastin. This protein also degrades the outer membrane protein A (OmpA) of E. coli as well as the virulence factors of such bacteria as Shigella, Salmonella and Yersinia. Mutations in this gene are associated with cyclic neutropenia and severe congenital neutropenia (SCN). This gene is present in a gene cluster on chromosome 19.



Aliases:    GE; NE; HLE; HNE; ELA2; SCN1; PMN-E    

Entrez GeneID:    1991    

Swissprot:    P08246    

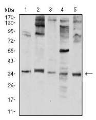
WB Predicted band size :   28.5kDa    

Host/Isotype:    Mouse IgG1    

Species Reactivity:    Human,Rat    

Immunogen:    Purified recombinant fragment of human ELANE (AA: 140-267) expressed in E. Coli.    

Operation

WB    1/500 - 1/2000    

FCM    1/200 - 1/400    

ELISA    1/10000    

References